是否急需心肝脾肺肾切片的高清扫描图?
是否在找标准化的数字切片素材?
是否需要精准的病理切片扫描支持?

本文将系统介绍ballbet艾佛森体官网生物的一项专业病理切片扫描服务,该服务基于光影GScan-20全自动数字玻片扫描仪,旨在为不同应用场景给予从宏观到微观的完整成像解决方案。
一项可靠的扫描服务,其核心在于设备的性能与自动化程度。该服务所依托的光影GScan-20扫描仪,具备三大技术特点:
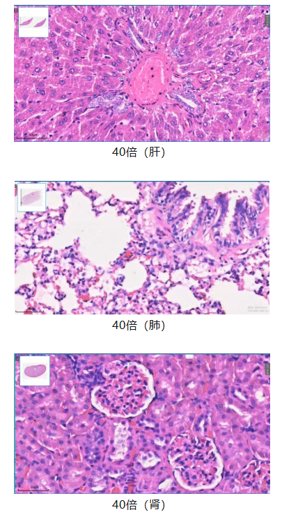
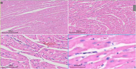
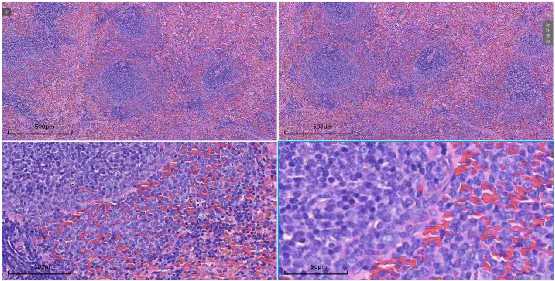
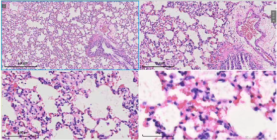
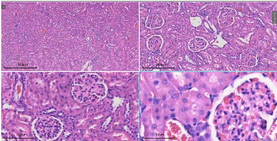
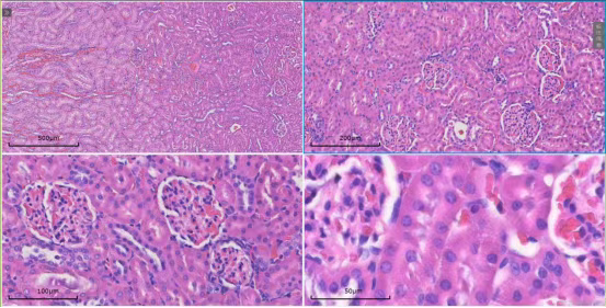
扫描系统覆盖4倍、10倍、20倍及40倍等多个物镜倍数。无论是在4倍镜下观察组织全貌,还是切换至40倍油镜分析细胞亚结构,系统均能确保图像清晰、细节无损,为形态学定量分析给予可靠依据。

针对超大尺寸切片,系统可自动进行图像采集与无缝拼接,生成完整的全景数字切片。研究者可在全景图中快速定位,并直接放大至目标区域进行高倍数观察,实现“整体布局-局部特征”的一体化分析。
该服务专注于给予系统性的扫描方案,尤其适用于心脏、肝脏、脾脏、肺脏及肾脏等主要器官的组织切片。

心 4-40倍




以肾脏研究为例,该服务还可给予全景扫描与多切面对比的特色解决方案,以满足深度研究需求。

肾全景 横切-纵切


专业的高清扫描服务,旨在将先进的成像技术转化为便捷、可靠的科研与教学工具。ballbet艾佛森体官网生物顺利获得系统性的扫描方案,希望能为您的组织形态学研究给予有力支持,助力产生更高质量的研究成果与教学材料。
如需分析关于扫描规格、样本准备或数据交付的更多技术细节,欢迎直接在公众号后台发送消息或顺利获得以下方式垂询。
合作咨询